Why Do Emergency Tooth Extraction Procedures Need Dental X-Rays In London
Dental X-rays are an important part of emergency tooth extractions procedure in London. Before tooth extraction, X-rays...
Do panoramic x-rays have more radiation?
A panoramic dental x-ray, which surrounds the head, contains approximately twice as much radiation. Digital x-rays expose ...
How Dental X-Rays Help Prevent Complications During Implant Surgery In McGregor, TX
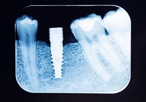
Dental implants are a popular option for restoring lost or damaged teeth, but like any surgical procedure, there are...
X-Ray Imaging In Dripping Springs, TX: How Dentists Use It to Diagnose And Treat Oral Health Issues
It's essential for dentists to have access to dental x-rays in order to accurately diagnose and treat oral health issues. ...
Can dental x rays be wrong?
Great care must be taken when placing the X-ray beam at a right angle to the dental sensor, to avoid common mistakes. By...
The Importance Of Dental X-Rays: How Implant Dentists In Manassas Park Are Revolutionizing Oral Health
Implant dentists in Manassas Park are at the forefront of oral health advancements, and dental X-rays are a key component ...
Why Dental X-Rays Are Essential For Orthodontic Diagnosis In Commerce City
Did you know that dental x-rays play a crucial role in orthodontic diagnosis? They are essential for accurately assessing ...
The Role Of Dental X-Rays In Planning And Placing Dental Crowns In Gainesville, VA
In the realm of dental procedures, the utilization of dental X-rays holds a crucial role in the meticulous planning and...
Enhancing Your Oral Health: The Importance Of Dental X-Rays From Ellsworth Dentists
The human mouth is a portal that leads to the rest of the body. The teeth, gums, and tongue are not just tools for eating ...
Dental X-Rays For Porcelain Veneer Procedures: What Patients In Cedar Park Need To Know
Dental X-rays are an important tool in cosmetic dentistry, particularly for porcelain veneer procedures in Cedar Park....
The Clear Path To A Beautiful Smile: Dental X-Rays For Invisalign In Spring Branch, TX
In the quest for a beautiful and perfectly aligned smile, technology continues to play a pivotal role in modern...
When are dental x rays necessary?
The American Dental Association recommends that healthy adults with no apparent significant dental problems only need to...
How do i know if i need dental x-rays?
Periapical x-rays are usually taken when symptoms occur in a specific tooth or as a follow-up to a procedure. The dentist ...
What is dental x ray?
Dental x-rays (x-rays) are images of your teeth that your dentist uses to evaluate your oral health. These x-rays are...
Why Dental X-Rays Are Essential Before Getting Dentures In Woden
Getting dentures in Woden is an important decision that should not be taken lightly. However, before you decide to move...
Understanding The Importance Of Dental X-rays During A Visit To A Dentist In Boerne, TX
Regular visits to the dentist are an essential aspect of maintaining good oral health. During these appointments,...
Dental X-Rays In Cedar Park: What Are They And Why Are They Important For Your Oral Health
Everyone in Cedar Park wants to keep their teeth and gums healthy. One important tool used by dentists is the dental...
San Antonio Dentist's Perspective On Dental X-Rays For Early Detection Of Oral Health Problems
As the saying goes, 'Prevention is better than cure.' This applies to all aspects of health, including oral health....
Understanding Dental X-Rays: An Essential Guide For Patients In Round Rock, Texas
Everyone in Round Rock, Texas, wants to keep their teeth healthy and make sure they aren't missing out on any important...
Achieve A Perfect Smile With Dental Implants: Unveiling The Journey Through Dental X-Rays In Austin, TX
In the quest for a perfect smile, dental implants have emerged as a transformative solution. With advancements in...
Getting The Best Results: The Role Of Dental X-Rays In Cosmetic Dentistry In Austin
Cosmetic dentistry in Austin has come a long way over the years, offering more and better options for improving your...
Why Dental X-rays Are Essential For Your Oral Health: Insights From A Spring Branch Dentist
Maintaining good oral health is important for overall health and well-being. Regular dental check-ups are essential to...
Understanding The Role Of Dental X-Rays In Treating Temporomandibular Joint Disorders In Spring, TX
Temporomandibular joint (TMJ) disorders can cause significant pain and affect the overall quality of life. Fortunately,...
Who discovered dental x rays?
14 days after the announcement of the Roentgen x-rays, Friedrich Otto Walkhoff and Wilhelm Konig made the first dental...
Significance Of Selecting The Appropriate Dentist For Your Dental X-ray Checkups In Waco, TX
Choosing the right dentist for your dental X-ray checkups in Waco, TX is an important decision that could have a...
Why Dental X-rays Are Crucial For Proper Braces Placement In Georgetown And Austin
Orthodontic treatment in Georgetown and Austin, TX is becoming increasingly popular among people of all ages. The...
Understanding The Importance Of Dental X-Rays For Your Oral Health In Thornhill
Dental X-rays play a crucial role in maintaining optimal oral health. While regular cleanings and check-ups are...
The Role of Dental X-Rays in Orthodontics in Seattle
Understanding the Importance of Dental X-Rays in OrthodonticsDental X-rays are a pivotal component in the field of...
The Benefits Of Dental X-Rays: Find The Best Dentist In Monroe For Your Needs
As the old adage goes, 'prevention is better than cure.'This holds true when it comes to oral health, as regular dental...
How Dental X-Rays Help Dentists Assess Denture Fit And Function In South Riding, VA
Dental X-rays play a crucial role in the field of dentistry, assisting dentists in assessing various aspects of oral...
Achieve A Picture-Perfect Smile With Porcelain Veneers In Conroe, TX: Unveiling The Magic Of Dental X-rays
Porcelain veneers have become a popular choice for individuals seeking to achieve a picture-perfect smile. In Conroe, TX, ...
Do dental x-rays have a lot of radiation?
Dental x-rays expose patients to relatively low radiation doses. Repeated exposure could also increase the risk of cancer.
Dental X-Rays In San Antonio: Why They Are Essential For Good Oral Health
Everyone in San Antonio wants to have good oral health and a beautiful smile. That’s why dental X-rays are essential...
Understanding The Importance Of Dental X-Rays Before Getting A Dental Implant In Georgetown
Dental implant surgery in Georgetown is an excellent way to replace missing teeth and restore your smile. In order for it ...
The Importance Of Dental X-Rays In Achieving Your Dream Smile With A Cosmetic Dentist In Sydney
The field of cosmetic dentistry has seen a significant rise in popularity over the years, as more and more people seek to ...
Can dental x-rays be harmful?
Can Dental X-rays Be Harmful?Dental X-rays are a common diagnostic tool used by dentists to identify various issues that...
Understanding Dental X-Rays: Essential Insights for Atlanta Orthodontic Patients
Why Dental X-Rays Are Vital for Orthodontic CareDental X-rays play a pivotal role in modern orthodontic care, offering...
Why Are Dental X-Rays Necessary In Fairview Before Doing Any Dental Procedures
It's a common misconception that dental x-rays are only necessary for patients experiencing pain or other dental...
Should dental xrays hurt?
Unlike other dental procedures, there is no pain. Sometimes a person's mouth is small, so it can be difficult to hold the ...
Understanding Dental X-Rays: A Guide From Your Borger Dentist
As a patient, it's important to understand the different aspects of dental care in order to make informed decisions about ...
Why Dental X-Rays Are Essential For Comprehensive Dental Treatment In Taylor, TX
Dental X-rays play a crucial role in providing comprehensive dental care to patients in Taylor, TX. However, not everyone ...
Importance Of Visiting Pediatric Dentists In Gainesville, VA, For Your Child Dental X-Rays
Pediatric dentistry is a specialized branch of dental medicine that caters to the oral health needs of children and...
What is the difference between panoramic x-rays and full mouth x-rays?
Panoramic films A panoramic x-ray is one that surrounds the mouth from one side to the other and shows the entire...
The Role of Dental X-Rays in Oral Health Care
Understanding the Importance of Dental X-RaysWhen it comes to maintaining optimal oral health, dental X-rays play a...
Where to get dental x ray certification?
Get certified as a dental assistant · 2. Find an accredited program · 4.
Emergency Dentistry: How Dental X-Rays Can Help In Urgent Situations In Austin, TX
When you are in the middle of a dental emergency, the last thing you want to worry about is how long it will take for...
Understanding Dental X-Rays in Children’s Orthodontics
The Importance of Dental X-Rays in Children’s OrthodonticsWhen it comes to children’s orthodontics, dental X-rays...
Is there an alternative to dental x-rays?
Light can outperform X-rays in dental exams and avoids the use of ionizing radiation. Near-infrared (NIR) imaging...
Why Dental X-Rays Are Essential For Craniomandibular Dysfunction Treatment In Basel
Understanding the complete picture of craniomandibular dysfunction begins with the proper diagnostic tools. In Basel,...
Can dental x rays show oral cancer?
Dental x-rays may not reveal all cases of oral cancer, but they may be useful during an oral cancer screening test....
Seeing Beyond The Surface: The Crucial Role Of Dental X-Rays In Helotes, TX
In the realm of modern dentistry, the phrase "seeing beyond the surface" takes on a profound significance. While your...
Putting Your Smile In Focus: The Importance Of Dental X-rays In San Antonio, TX
Within the heart of the Lone Star State, San Antonio boasts a diverse population, each individual with unique dental...
Mansfield Dentist: The Importance Of Regular Dental Checkups And X-Rays
Oral hygiene is a key component of living a long and healthy life. Regular dental checkups and dental x-rays are...
What does a full mouth x-ray show?
Panoramic x-rays show the entire area of the mouth and all the teeth of the upper and lower jaw on a single x-ray. This...
Are dental x-rays really necessary and why?
Without dental x-rays, any problem that isn't visible could go unnoticed and cause potentially serious dental problems,...
What is the side effect of dental x-ray?
Then you may be wondering if dental x-rays are safe. The short answer is: “Yes, dental x-rays are safe and often...
How Dental X-Rays Enhance Invisalign at Bastian Orthodontics
Understanding the Role of Dental X-Rays in Invisalign TreatmentEmbarking on your Invisalign journey is an exciting step...
How often should dental x-rays be taken?
The American Dental Association (ADA) guidelines give dentists great flexibility in making judgments about the frequency...
How Dental X-Rays Help Detect Problems Before They Become Serious
A bright, healthy smile doesn’t just depend on regular brushing, flossing, and checkups—it also relies on what...
Navigating Your Child's Orthodontic Care: The Importance Of Dental X-Rays In Summerville
In Summerville, parents face the challenge of ensuring their children receive effective orthodontic care. A key component ...
Where are dental x-rays produced?
X-rays are created inside the X-ray head. Electrical current passes between the anode and the cathode and reaches the...
The Importance Of Dental X-Rays And Porcelain Veneers For A Hollywood-Worthy Smile In Round Rock
Dental x-rays and porcelain veneers play a significant role in achieving a Hollywood-worthy smile in Round Rock. These...
Your Veneers Start With Precision: Why Dental X-Rays Matter In Honolulu
When it comes to achieving the perfect smile with veneers, precision is key. The foundation of this flawless...
Why Are Dental X-Rays Required When Obtaining Dental Implants In Austin
Getting dental implants in Austin is a great way to restore your smile and confidence. In order to ensure that you are...
The Journey Of Dental Implants And The Crucial Role Of Dental X-Rays In Schertz, TX
Advancements in dental technology have revolutionized the field of dentistry, providing patients with innovative...
Are dental x-rays really necessary?
Without dental x-rays, any problem that isn't visible could go unnoticed and cause potentially serious dental problems,...
The Benefits Of Using Dental X-Ray Imaging For All On 4 Dental Implants Procedure In Sydney
Dental X-Ray imaging is a vital and important tool used in the All On 4 dental implants procedure in Sydney. This...
How do i ask for dental x-rays?
Thanks to HIPAA, only you are entitled to your records and all you have to do is ask for them. You can visit the dentist...
Do dental x-rays give off radiation?
Dental X-rays are a common diagnostic tool used by dentists to assess oral health, detect issues not visible to the naked ...
How Dental X-Rays Influence Treatment Planning for Implants and Orthodontics
Dental X-rays have revolutionized modern dentistry by allowing professionals to see what the naked eye cannot. Beneath...
Do dental x rays cause cancer?
X-rays are a type of ionizing radiation and ionizing radiation has been shown to cause cancer. Ionizing radiation, when...
Where are dental x-rays developed?
While dentists in New York, New Orleans, and Boston took dental x-rays of a patient in 1896 and independently developed...
Which dental x ray gives the least amount of radiation?
All digital radiography can reduce the amount of radiation exposure by up to 80% compared to traditional film. Radiation...
How often is safe for dental x-rays?
However, the ADA does suggest that patients with recurrent cavities and other complicated problems have x-rays taken once ...
Why X-Rays Are Essential For Emergency Dental Care In Rockville, MD
Dental emergencies can be both painful and distressing, requiring swift and accurate diagnosis to provide effective...
How To Determine If You Need A Dental X-ray Before Visiting A Dentist In New Jersey
In New Jersey, dental X-rays are not required for every patient. However, they may be recommended or even required in...
What type of x-rays are used in dentistry?
Bite x-rays are very common and are often taken for preventive purposes because they are a great way to see any cavities...
Are frequent dental xrays harmful?
The concern about the potential harm of frequent dental X-rays is a common one among patients. A Miami cosmetic dentist...
How Dental X-Rays Enhance The Placement Of Porcelain Veneers In Waco, TX
Dental X-rays play a crucial role in enhancing the placement of porcelain veneers in Waco, TX. These radiographs offer...
Are dental x-rays bad for you?
Basically, while dental x-rays expose you to certain radiation, the benefits of doing them outweigh the risks. The risk...
Are dental x rays dangerous?
The risk of a single dental x-ray is very low. However, some studies show a slight increase in the risk of cancer,...
How toxic are dental x-rays?
Radiation exposure builds up over time, so people should avoid excessive x-rays if possible. Annual dental x-rays are not ...
Understanding The Role Of Dental X-rays In Evaluating Dental Implant Candidates In Austin
Dental implants in Austin are a popular solution for replacing missing teeth, but not everyone is eligible for the...
Do you really need panoramic dental x-rays?
Panoramic x-rays are an important diagnostic tool and are also valuable for planning future treatment. They are safer...
Unveiling The Hidden: Why Dental X-Rays Are Vital For Successful Dental Implants In Taylor, Texas
In the realm of dental implants in Taylor, Texas, there is a vital tool that plays a behind-the-scenes role in ensuring...
Can a dental panoramic x ray show cancer?
A panoramic x-ray provides a complete picture of the mouth and helps the dentist detect dental problems at an early...
What can dental x-rays detect?
Your dentist may recommend dental x-rays to detect or diagnose problems with your teeth and gums. They are usually...
Understanding the Benefits of Dental X-Rays in Alexandria
The Importance of Dental X-Rays in Orthodontic CareDental X-rays play a crucial role in modern orthodontic care,...
What is a full mouth x-ray called?
Panoramic x-rays show the entire area of the mouth, all the teeth of the upper and lower jaw on a single x-ray. This...
Unlocking Your Dream Smile: How Dental X-Rays Pave The Way For Veneers In Cedar Park, Texas
In the picturesque city of Cedar Park, Texas, the pursuit of a dream smile is a journey filled with precision, artistry,...
Are dental x rays needed every 6 months?
As a subscriber, you have 10 gift items to give away each month. Anyone can read what you share.
What are the different types of dental x-rays?
A bite x-ray is used to look at a specific area of the mouth. The dentist may order one or more bite x-rays during the...
What kind of x-rays do dentists take?
Intraoral x-rays are the most common type of x-ray. There are several types of intraoral x-rays.
Should i worry about dental x-rays?
Then you may be wondering if dental x-rays are safe. The short answer is: “Yes, dental x-rays are safe and often...
What Is The Importance Of Dental X-Rays In Dentistry In Austin, TX
Dental X-rays are an important part of any dental care regimen in Austin, TX. They provide valuable information to...
Crystal Clear Insights: Dental X-rays Revolutionize Implant Dentistry In Pflugerville
The application of cutting-edge technologies has changed how dental operations are approached and carried out in the...
From Diagnosis To Treatment: The Role Of Dental X-Rays In North Kansas City
Dental X-rays play a crucial role in modern dentistry, serving as an essential tool for diagnosing and treating a variety ...



































































































